High Quality Services
Accurate Imaging • Fast Reports • Trusted Diagnostics
Accurate Lab Tests in Delhi
Accurate Lab Tests in Delhi Trusted Blood Tests • Fast Reports • Reliable Diagnosis Get…
Nuclear Medicine Tests in Delhi
☢ Nuclear Medicine Scans in Delhi Advanced Imaging for Early Detection & Accurate Diagnosis Looking…
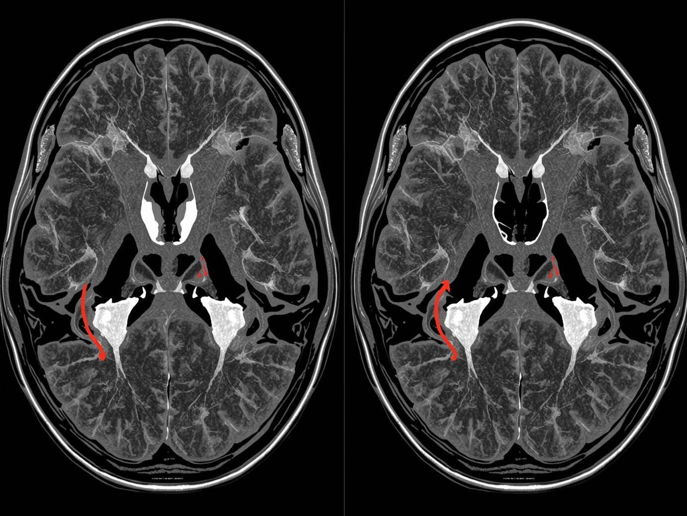
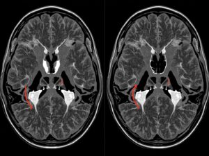
🧠MRI Scan Test in Delhi
MRI Scan Test in Delhi Advanced Imaging | Accurate Diagnosis | Trusted Reports What is…
